Gna za mną czas. Jasne, gna za każdym, jednak w moim wypadku wymachuje też bliżej nierozpoznanym przedmiotem.
W kształcie kostura powiedzmy. Do tego ryczy przeraźliwie, raz po raz ciskając w moim kierunku jakieś śmierdzące coś. Zgniłe jelito wieprzowe? Nie spowolnię biegu, by sprawdzić. Wykluczone. Dość, że cuchnie.
Ale do rzeczy: “Siadaj, słuchaj, ogarniaj: samoistne włóknienie płuc (IPF) to postać przewlekłego i postępującego, śródmiąższowego zapalenia tkanki płucnej, o nieznanej przyczynie, z obrazem histologicznym i/lub – to rozróżnienie okazało się później niezwykle istotne: “i” czy “lub” – z obrazem histologicznym i/lub radiologicznym zwykłego śródmiąższowego zapalenia płuc (UIP).
“Orany!”, tak jednym słowem podsumować zastany przypadek mogłaby nowoczesna medycyna. Zapominając o spacji. Wyobraź sobie, dokąd w swojej sprawie nie poszedłem, gdzie nie zajrzałem (fakt, odpuściłem sobie szperanie w Library of Congres). Tutaj mianowicie trafiłem: , i tutaj: <podyplomie.pl/medycyna>, i tutaj: . I tak dalej, i tak dalej.
Swoją drogą, wpisanie hasła “IPF” w National Library of Medicine (PubMed) przynosi ponad dziesięć tysięcy wyników. “UIP” w tym samym źródle daje niespełna dwa tysiące rezultatów. Ergo, medycyna współczesna, choć do szaleństwa nowoczesna, nadal oferuje człowiekowatym liczne czyste karty. W sensie, że do zapisania.
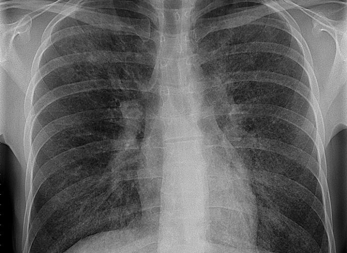
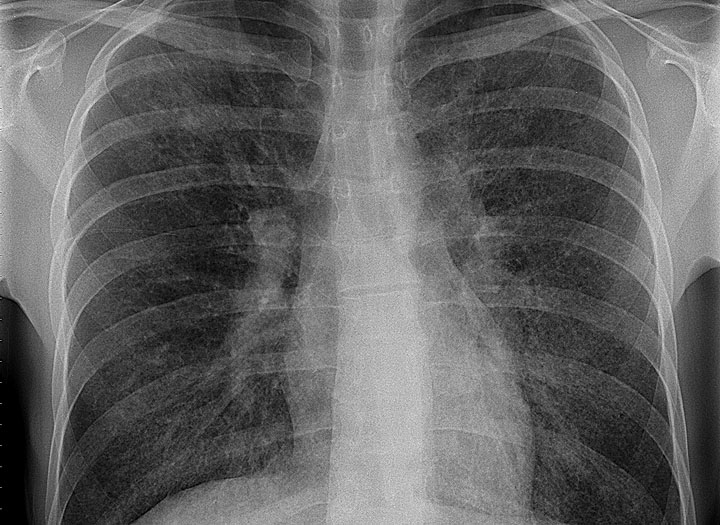
Wkrótce z tych zapisanych dowiedziałem się, że tomografia płuc “wykonana w trybie wysokiej rozdzielczości” (HRCT) “z dużym prawdopodobieństwem” precyzuje typ choroby w śródmiąższowym zapaleniu płuc. Konkretnie: gdy obraz radiologiczny okazuje się charakterystyczny, badanie radiologiczne potwierdza włóknienie samoistne, a dzieje się tak w połowie wypadków. W drugiej połowie nawet HRCT nie daje pewnego rozstrzygnięcia i wówczas pozostaje sięgnąć w głąb, czytaj: wówczas dopiero poddanie badaniu histopatologicznemu wycinka tkanki płucnej pozwala określić konkretną postać przypadłości – i tu konieczne niepozdrowienia dla niekompetencji pani doktor pulmonolog. Górną pięciopalczastą podaję niechętnie, proszę nie wstawać, nie zobaczymy się nigdy więcej.
Mniejsza z tą panią. Wykonałem tomografię płuc w wysokiej rozdzielczości. Wyszedł i miód, i cud, na mlecznej szybie ryba z kitem wyszły, przez szybę zaś siateczki, plastry oraz inne, rozmaite obszary. Co do obecności pszczół pewności nie uzyskałem. Się wyroją, się ewentualnie zobaczy – w każdym razie dziś brzęczy we mnie wyraźniej niż wczoraj. A tu podsumowanie badania: “Zmiany w płucach o radiologicznym wzorcu prawdopodobnego UIP o niewielkim nasileniu (15-20%)”. Obraz radiologiczny moich ukochanych acz niedomagających płuc otrzymałem więc niecharakterystyczny, mimo obecności charakterystycznych zmian dla płuc wątpiących. Włókniejących, znaczy. Czyli co robić? Nic. Nadejdą zmiany, się uwidocznią, za charakterystykę zmiany złapiemy, odpowiednio przesłuchamy.
Ktoś mówi, że to rodzaj taktyki bezmózgowca? Alternatywa jawi się równie upiornie: szpital, oddział pulmonologiczny, w pakiecie wyżywienie oraz diagnostyka pogłębiona do poziomu biopsji chirurgicznej (uwaga, będę intensywniej medyczyć). Bo jeśli chodzi o mój przypadek, tak głęboko jak należy żaden bronchoskop nie sięgnie i żadne płukanie pęcherzykowe również nie da zupełnie nic.
Poczytałem, co to takiego jest, biopsja chirurgiczna. A sięgnąłem do najwyższej półki. Mianowicie ucapiłem za uczoności prof. dr hab. n. med. Grodzkiego Tomasza (tak, tego Grodzkiego) oraz dr hab. n. med. Janusza Wójcika, rodem z Kliniki Chirurgii Klatki Piersiowej i Transplantacji Pomorskiego Uniwersytetu Medycznego w Szczecinie. Nie dalej jak w 2021 roku, obaj panowie zastanawiali się, co wybrać, planując badanie histopatologiczne zmian zaobserwowanych w ludzkich płucach. Oto dylemat w ujęciu autorów pracy: “Nakłucie czy pobranie większych fragmentów tkankowych? Omówienie operacyjnych i małoinwazyjnych / nieinwazyjnych metod pozyskiwania materiału do badania histopatologicznego”.
By wątpliwości rozstrzygnąć, panowie dokonali przeglądu różnych procedur, stosowanych w diagnostyce zmian zaobserwowanych wewnątrz klatki piersiowej, pamiętając, iż: “Rozpoznanie cytologiczne jest niejednokrotnie wystarczające do kwalifikacji pacjenta do dalszych etapów postępowania terapeutycznego; tak się dzieje po rozpoznaniu np. raka drobnokomórkowego lub niedrobnokomórkowego płuca”, jednakowoż: “W przypadku zmian nienowotworowych, materiał cytologiczny wymaga dodatkowo analizy histopatologicznej materiału tkankowego”. Podkreślono też, że: “Obecnie wiedza o histopatologicznej naturze zmian chorobowych w płucach oraz w całym obrębie klatki piersiowej stanowi podstawę taktyki i strategii leczenia większości chorób w tym obszarze anatomicznym. Dotyczy to zarówno całego spektrum schorzeń onkologicznych, jak i zmian śródmiąższowych oraz węzłowych o typie nieonkologicznym”.
***
…Tu rozlega się głośny brzdęk, przy czym ciąg dalszy brzdąknięć ledwie za dwa tygodnie. W przyszłym tygodniu w tym miejscu wystąpić musi ogrodnik Gąciarek. To ten, który czego dotknie, to schnie.
Krzysztof Ligęza
Kontakt z autorem: widnokregi@op.pl































































