Tag: zdrowie
8 rad, dzięki którym unikniesz przykrych powikłań po usunięciu zęba
Zalecenia pozabiegowe po usunięciu zęba w dużej mierze zależą od tego, który ząb został usunięty. Rany z reguły goją się dłużej w przypadku zębów...
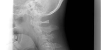
Wysłali go do domu ze złamanym kręgiem szyjnym
41-letni John Barnet po wypadku motocyklowym miał złamania mostka i kręgu w odcinku szyjnym kręgosłupa. Przez sześć godzin przebywał Dr. Everett Chalmers Regional Hospital...
Załamanie systemu medycznego wisi w powietrzu
Lekarze przyjmujący na ostrym dyżurze mówią, że w izbach przyjęć w GTA mamy kryzys. Dr Kashif Pirzada z Toronto napisał niedawno na twitterze, że...
Ostrzeżenia na paczkach już spowszedniały – powinny być na każdym papierosie
Kanada może być pierwszym krajem na świecie, który będzie wymagał umieszczania informacji o szkodliwości palenia na każdym papierosie. Podstawą zmiany ma być dotychczasowe prawo...
Coraz więcej kleszczy
Z roku na rok w Kanadzie przybywa kleszczy przenoszących boreliozę. Vett Lloyd, naukowiec i założyciel Lloyd Tick Lab przy Mount Allison University w Nowym...
“Sto lat” w Kanadzie brzmi coraz częściej
Z nowo opublikowanych danych Statistics Canada, zebranych w ramach spisu powszechnego w 2021 roku, wynika, że w ciągu 50 lat znacząco zwiększyła się liczba...
Na deregulacji chińskiej medycyny stracą pacjenci
Ontario planuje deregulację tradycyjnej chińskiej medycyny i akupunktury tłumacząc, że obecny system dyskryminuje osoby, które mówią tylko po kantońsku lub mandaryńsku i przez to...
Chcesz mieć “trip” na LSD – poproś lekarza
Po niedawnych zmianach w Special Access Program lekarze rodzinni będą mogli wypisywać pacjentom poddawanym psychoterapii wnioski o wydanie leków psychodelicznych. Dr. Michael Verbora, dyrektor...
Operacja raka jelita grubego odroczona na czas nieokreślony
30-letnia Cassandra Di Maria z Woodbridge, Ont., chora na raka jelita grubego w 4 stadium zaawansowania, od grudnia czeka na operację. Procedura została przełożona...
Czosnek czyli superfood
Nadaje smak potrawom, jest wyjątkowy i zdrowy. Dodawany do pikli, sosów, zup, pieczeni, i setki innych potraw. Oczyszcza organizm, leczy miażdżycę i serce.
W średniowieczu...





































































